Bind- en steunweefsel
Bindweefsel komt voor in alle organen waar het, dankzij zijn rijkdom aan vezels, steun en stevigheid verleent aan de andere cellen en weefsels.
Naast de uitgesproken steunfunctie speelt het bindweefsel een zeer belangrijke rol in de afweer. De belangrijkste cellen van de afweerreactie komen er namelijk in voor en deze zijn verantwoordelijk voor de bestrijding van ziektekiemen zoals bacteriën.
Verder heeft bindweefsel nog andere belangrijke functies zoals een opslagfunctie (bv. vet) en het herstel van weefsel door littekenvorming. Tijdens dit proces treedt er massale proliferatie van fibroblasten op. Deze cellen secreteren lokaal grote hoeveelheden bindweefsel. Gespecialiseerd bindweefsel vinden we onder de vorm van vetweefsel en steunweefsel zoals been en kraakbeen.
In tegenstelling tot de andere weefseltypes is bindweefsel zeer rijk aan tussencellige stof. Deze tussencellige stof bestaat uit 3 componenten: ten eerste een amorfe organische matrix. Hierin zijn aanwezig: verschillende glycoproteïnen alsook grote moleculen die glycosaminoglycanen worden genoemd. Ten tweede uit karakteristieke vezels en ten derde uit weefselvloeistof.
Indeling van het bindweefsel:
- Losmazig (of areolair) bindweefsel bevat vooral veel fibroblasten, en in mindere mate macrofagen. Dit is het meest algemene bindweefsel dat o.a. voorkomt rond spier- en zenuwvezels, rond bloedvaten, in de serosa van buik- en borstholte en ter ondersteuning van epithelen in het algemeen.
- Vezelrijk (dicht) bindweefsel bevat relatief gezien meer vezelbundels (collageen, reticuline) en minder cellen dan het losmazig bindweefsel en is dan ook steviger.
We maken nog een onderscheid tussen:
- Willekeurig georiënteerde vezels (in orgaankapsels, in de dermis)
- Parallel georiënteerde vezels, dikke bundels (in pezen en ligamenten).
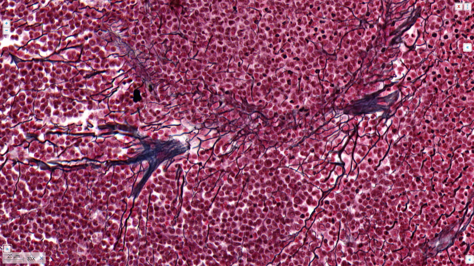
- Reticulair bindweefsel bevat een netwerk van vertakte cellen. De reticulumcellen (gespecialiseerde fibroblasten) maken reticulaire vezels ter ondersteuning van andere cellen. Deze andere cellen zijn bv. hematopoëtische (bloedvormende) cellen van het beenmerg of lymfoïde cellen van de lymfeklieren of milt.
- Elastisch bindweefsel is elastischer dan gewoon bindweefsel door de aanwezigheid van elastische vezels. Dit type bindweefsel komt voor in de wand van arteriën, maar is verder niet algemeen.
- Muceus bindweefsel heeft een dik-vloeibare matrix en is dus gelei-achtig. Dit bindweefsel komt voor in navelstreng en pulpa van jonge tanden.
- Vetweefsel is gespecialiseerd in de opslag van lipiden. Vetcellen of adipocyten bevatten een grote vetvacuole die bijna het hele celvolume inneemt (wit vet).
- Steunweefsel is een ander soort gespecialiseerd bindweefsel. Hiertoe behoren het kraakbeen en het been.
Losmazig bindweefsel (blauwe pijl / lijn):
Vezelrijk bindweefsel (groene pijl):
Openen in volledig scherm
Reticulair bindweefsel (zwart aangekleurd):
Openen in volledig scherm
Elastisch bindweefsel (donkerbruin aangekleurd):
Openen in volledig scherm
Vetweefsel (zwarte pijl):
Steunweefsel (kraakbeen) (zwarte lijn):
Openen in volledig scherm